3·15揭露增高骗局!孩子科学长高的真相在这里
春日万物生长,家长们的“身高焦虑”也随之升温
不少商家瞄准这一心理,推出各类“增高神器”
“不打针不吃药,轻松长高3-8厘米”“骨骼生长加速器,无效退款”

今年3·15晚会揭开了这些“物理增高”机构的真面目
记者暗访发现,某机构宣称用仪器刺激骨骺线,年收费近两万元还承诺保底身高

另一家机构称声波仪器可刺激膝盖提升生长速度,然而厂家表示设备实为消炎镇痛用,且14岁以下儿童禁用

所谓专利也与增高无关,商家不过是利用孩子自然生长的规律“割韭菜”,甚至宣称能让骨骺线闭合的成年人长高,坦言“只为挣钱”

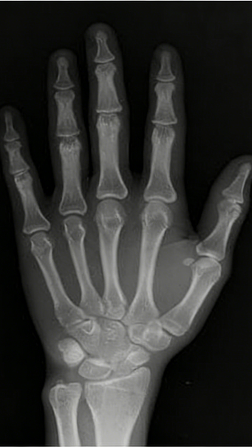
孩子何时停止长高?关键看骨龄
身高增长依赖长骨两端骨骺软骨细胞的分裂骨化,骨骺线闭合则生长停止

女孩月经初潮后生长潜力缩减,多数2年内完成增长;男孩变声前后为增长期,骨骺闭合骨龄中位数约18岁

判断孩子是否停止长高的方法
核心标准:骨龄检测,拍左手腕骨X光片查看骨骺状态

直观信号:青春期孩子连续半年至一年身高增长不足1厘米需警惕

辅助参考:第二性征发育完全且生长放缓,如女孩月经规律、男孩喉结突出等
多补钙就能长高?真相是身高七成靠遗传,三成靠后天
钙是骨骼原料但不直接促生长,需搭配维生素D吸收,盲目进补可能导致性早熟

科学管理孩子身高的方法
1.饮食营养:每天1个鸡蛋、500毫升奶、1两肉保证蛋白质,适量补钙及维生素A、D

2.睡眠:尽量10点前入睡,学龄前儿童每天保证10小时睡眠,利于生长激素分泌
3.运动:选择跳绳、跑步、摸高等纵向运动,每次20-40分钟,避免蹦床类损伤关节的活动
分年龄段建议:0-1岁多俯趴;2-3岁每天户外活动2-3小时;3-6岁做健身操;6岁以上进行弹跳运动
4.情绪:营造宽松家庭氛围,愉快心情促进生长激素分泌

5.定期儿保:0-1岁每3个月一次,1-3岁半年一次,3岁至青春期每年一次,青春期至成年每半年一次

孩子长高有科学规律,无捷径可走,别再被“物理增高”骗局忽悠
原标题:《3·15曝光“增高”骗局!关于孩子长高,这才是科学的真相》
阅读原文
本文仅代表作者观点,版权归原创者所有,如需转载请在文中注明来源及作者名字。
免责声明:本文系转载编辑文章,仅作分享之用。如分享内容、图片侵犯到您的版权或非授权发布,请及时与我们联系进行审核处理或删除,您可以发送材料至邮箱:service@tojoy.com




