探案:肺炎治不好,“罪魁祸首”竟然是它。
原创 刘宁 金文婷等 感染视野的SIFIC
作者:刘宁 金文婷 马玉燕
审查:胡必杰 潘珏
刘宁 复旦大学附属中山医院深造医师 感染科曲阜市人民医院
首先,病史简介
男,55岁,上海人,员工,2024-05-15进入复旦大学附属中山医院感染病科。
主诉:发烫8天。
现病史
2024-05-07 出现发热,Tmax 40℃,伴有畏寒、乏力、四肢酸痛、鼻塞、咽痛、头痛,无明显干咳咳痰。社区卫生服务中心口服药物(具体情况不明),效果不佳。
2024-05-11 上海某区人民医院就医,查白细胞计数正常,CRP 70mg/L,SAA 158.2mg/L, 新冠肺炎咽拭子核酸,甲乙流核酸阴性;胸部CT:右上肺炎。05-13行支气管镜检查:管腔见白色分泌物粘附。刷子检查没有肿瘤细胞,抗酸(-)。在奥司他韦75mg的75mg奥司他韦中,他曾被赋予哌拉西林/他唑巴坦、磷霉素、美罗培南和奈诺沙星抗感染。 bid抗病毒,辅以退热、雾化等治疗,未见好转。
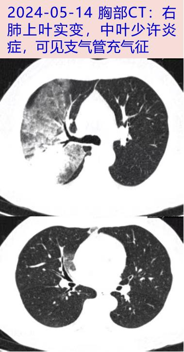
2024-05-14 仍有高热,Tmax 39℃,伴干咳,咳黄粘痰。到我院门诊查看WBC 6.07×109/L,N 70.6%,LY 21.2%;hsCRP 102.2mg/L。胸部CT平扫:右上肺大片实变,内见支气管充气征。中山医院感染科为明确肺炎病因,2024-05-15收益。
过去的历史:10年糖尿病史,500mg吡格列酮二甲双胍片 bid po+诺和锐30u bid 皮内注射治疗,血糖控制可以。
入院检查(2024-05-15)
【体检】[体检]
T 37.2℃,P 67次/分,R 20次/分,BP 111/66mmHg
体检:神志清醒,精神尚可,全身浅淋巴结无明显肿胀,肺部未闻,干湿发音。心率齐,腹部柔软,腹部无压痛,反弹疼痛,下肢无浮肿。
【化验检查】
血气分析(不吸氧):PO2 71mmHg, PCO2 40mmHg。
血常规:WBC 3.19×109/L,N 61.4%,L 0.8×109/L, Hb 126g/L,Plt 119×109/L。
炎症标志物:hsCRP 70.3mg/L,ESR 23mm/h,PCT 0.10ng/mL。
生化:ALT/AST 42/46U/L,Alb 32g/L,Cr 74μmol/L,CK 415U/L。
D-二聚体 0.59mg/L,纤维蛋白原 584mg/dL,NT-proBNP 732pg/mL。
T-SPOT.TB A/B 0/0(阴性对照0/阳性对照468);GM实验,GM实验,EBV-DNA、CMV-阴性DNA。
HBA1c:7.0%。
肿瘤标记物,自身抗体,甲状腺素:没有异常。
细胞免疫:CD4/CD8 1.0,CD4 309cells//μL,CD8 311cells//μL。
临床分析三
病史特点:中年男性,急性病程,高热8天,伴有畏寒乏力;胸部CT提醒右上肺大片实变;社区性肺炎诊断明确;病原菌鉴别诊断考虑如下:
病毒性肺炎:一般有呼吸道症状,全身症状如高热、乏力、肌肉疼痛等。影像学两侧比较常见,多为磨玻璃样或间质样。流感病毒、新冠肺炎、鼻病毒、副流感病毒、腺病毒、呼吸道合胞病毒、人类偏肺病毒等都是常见的呼吸道病毒。患者WBC不高,抗细菌治疗无效,需要考虑病毒感染的可能性。入院后,鼻咽拭子呼吸道病毒的多重PCR或mNGS可以得到改善。
非典型肺炎:如支原体、支原体、军团菌肺炎,具体表现为发热、咳嗽、呼吸困难。影像学可以看到小叶或阶段性斑片状阴影或实变影,可以并发呼吸衰竭和胸腔积液。病人白细胞计数不高,β内酰胺类效果不佳,需要考虑诊断的可能性,但是外院使用喹诺酮类药物,效果不佳,为不支持点。住院后可健全痰PCR或mNGS进一步调查,必要时可进行支气管镜肺泡灌洗行病原检查。
细菌性肺炎:常见病原菌包括肺炎链球菌、流感嗜血杆菌等。,这通常是一种急性疾病。其特点是高热、寒战、咳嗽、咳痰,白细胞和炎症标志物明显增加。患者WBC不高,广谱抗细菌无效,如青霉素、头孢菌素、碳青霉烯、喹诺酮等。,不支持细菌性肺炎的诊断。入院后,可以健全痰涂层,培养进一步发现病原菌。
第四,进一步检查,诊断和治疗过程及反应。
2024-05-15 入院后留取病原检查标本,收集鼻咽拭子核酸、痰涂片及培养,痰mNGS后给予头孢曲松。 2g qd 多西环素0.1g Q12h经验性抗感染,辅以吸氧、降糖、护肝、补钾等对症支持治疗。
2024-05-16 鼻咽拭子核酸(05-15取样):腺病毒核酸阳性,新冠肺炎核酸阴性。痰涂寻找细菌、真菌、抗酸杆菌阴性,Xpert.TB阴性。
2024-05-16 痰mNGS(05-15取样):人类腺病毒21型序列数为1323条,人类疱疹病毒6型序列数为56条,产气克雷伯菌序列数为13条。
2024-5-17 停止使用多西环素和头孢曲松,继续进行吸氧、降糖、护肝、补钾等治疗。
2024-5-18 痰液细菌培养阴性(05-15取样)。真菌培养(05-15取样):白假丝酵母1 。
2024-5-20 体温平整,乏力好转,无干咳、咳痰,复查WBC。 3.6×109/L,N 59.1%,L 1.1×109/L;hsCRP 36.5mg/L,ESR 28mm/h,PCT 0.04ng/mL,ALT/AST 32/28U/L,Alb 35g/L,NT-proBNP 290pg/mL。hsCRP、AST、NT-proBNP较前降低,淋巴细胞计数,Alb较前升,胸部CT:右肺上叶发炎,比05-14明显吸收,出院。
出院后随诊
2024-07-01 电话随访:病人体温平坦,无干咳,咳痰。胸部CT尚未复查,建议近期门诊复查血液,胸部CT。
最后的诊断和诊断依据五、
最终诊断
社区性肺炎(由腺病毒感染引起)
诊断依据
中年人,急性发病,具体表现为高热、畏寒、乏力、炎症症状。(CRP)上升,血液WBC和淋巴细胞的绝对记数减少,胸部CT显示右上肺大片实变,鼻咽拭子PCR和痰mNGS均检测出腺病毒DNA序列;停用抗细菌药物,给予对症治疗后,发热和乏力的症状有所改善,影像显示肺部病变明显吸收,因此确诊成立。
经验和经验六、经验
近几年来,聚合酶链反应(polymerase chain reaction,PCR)随着技术的发展和测序成本的不断降低,生物诊断已经成为诊断腺病毒感染的主要方法。但传统微生物培养检出率低、时间长、抗原检测周期短、灵敏度略低,已不能满足临床需求。实时荧光定量PCR是主要技术。(realtime quantitative PCR,qPCR)以及宏基因组测序(Next Generation Sequencing,NGS),NGS可以直接对腺病毒进行分析和鉴定。NGS是对样本中所有微生物的核酸进行检测,因此可以识别少发或兴新病原菌,也可以为多种病原菌共感染的病例提供诊断依据。
本病例结合胸部CT影像学特点,发热、畏寒、乏力,鼻咽拭子PCR检测阳性,痰宏基因组二代检测序列检测腺病毒核酸,确诊。与此同时,NGS检测出少量6B型核酸序列的产气克雷伯菌和人类疱疹病毒,但序列较少,我们认为并非病原菌。此外,5-29我院精准医学中心还检测了688条人类腺病毒B型序列(基因型包括7型、21型、50型),对患者进行血mNGS检测(标本为5-15取样,冷冻-20℃),进一步支持腺病毒肺炎的诊断。
在确诊腺病毒感染之前,病人经验性地使用了多种抗菌药物。分子体诊断方法具有灵敏度高、特异性好、耗时短等优点,初期病原检查能更好地规范抑菌药物的使用。NGS还面临着一些挑战,特别是对检验结果,需要有经验的临床医生/微生物学家的正确解读。由于NGS技术的应用越来越广泛,对相关医务人员进行专业培训尤为迫切。
目前,我国还没有针对人类腺病毒感染的特异性抗病毒药物。临床上主要治疗对症支持、免疫调节治疗和并发症。据外国文献报道,西多福韦抗腺病毒感染有一定效果。
人腺病毒(human adenovirus, HAdV)血清型多种多样,不同血清型腺病毒可引起多系统感染,包括肺炎、支气管炎、膀胱炎、眼结膜炎、胃肠疾病、脑炎等,腺病毒感染占急性呼吸道感染患者的5.8%-13%,是人类呼吸道感染常见的病原菌之一。各个年龄段的人普遍易感腺病毒,但80%的腺病毒感染发生在4岁以下的儿童、老年人和免疫抑制人群中。
参考文献:
[1] 于凤婷、王凌航的杨思园. 人类腺病毒感染的进展. 2017,24(05)国际病毒杂志:351-355. DOI:10.3760/cma.j.issn.1673-4092.2017.05.01.
[2]董静肖,赵秀英.人类腺病毒感染现状及分析检测技术的研究进展[J].2023,46(1)中国检验医学杂志:98-102. DOI:10.3760/cma.j.cn114452-20221117-00689.
[3] Al-Heeti OM, Cathro HP, Ison MG. Adenovirus Infection and Transplantation. Transplantation. 2022 May 1;106(5):920-927.
[4] 编制和批准人类腺病毒呼吸道感染预防控制技术指南. 预防和控制人腺病毒呼吸道感染的技术指南(2019年版)[J]. 2019年53(11)中华预防医学杂志:1088-1093. DOI:10.3760/cma.j.issn.0253-9624.2019.11.004.
[5] Mao NY, Zhu Z, Zhang Y, Xu WB. Current status of human adenovirus infection in China. World J Pediatr. 2022 Aug;18(8):533-537. doi: 10.1007/s12519-022-00568-8.
阅读原文
本文仅代表作者观点,版权归原创者所有,如需转载请在文中注明来源及作者名字。
免责声明:本文系转载编辑文章,仅作分享之用。如分享内容、图片侵犯到您的版权或非授权发布,请及时与我们联系进行审核处理或删除,您可以发送材料至邮箱:service@tojoy.com




