心源性猝死:离我们并不遥远的健康危机
一场急诊室里的生死救援
45岁的赵先生因突发胸闷、胸痛前往我院急诊胸痛中心就诊。就在接诊医生为他测量血压的瞬间,意外毫无征兆地发生了——赵先生突然面色惨白、肢体抽搐,随即失去意识。

急诊团队反应迅速:心电监护显示为“室颤”!胸外按压即刻启动,除颤仪也迅速完成充电。随着一次有力的电击,监护仪上终于出现了规律的心律波形。后续心电图检查提示V1-V4导联ST段弓背向上抬高,这正是急性心肌梗死的典型特征,而赵先生正是因急性心梗引发了致命的室颤。

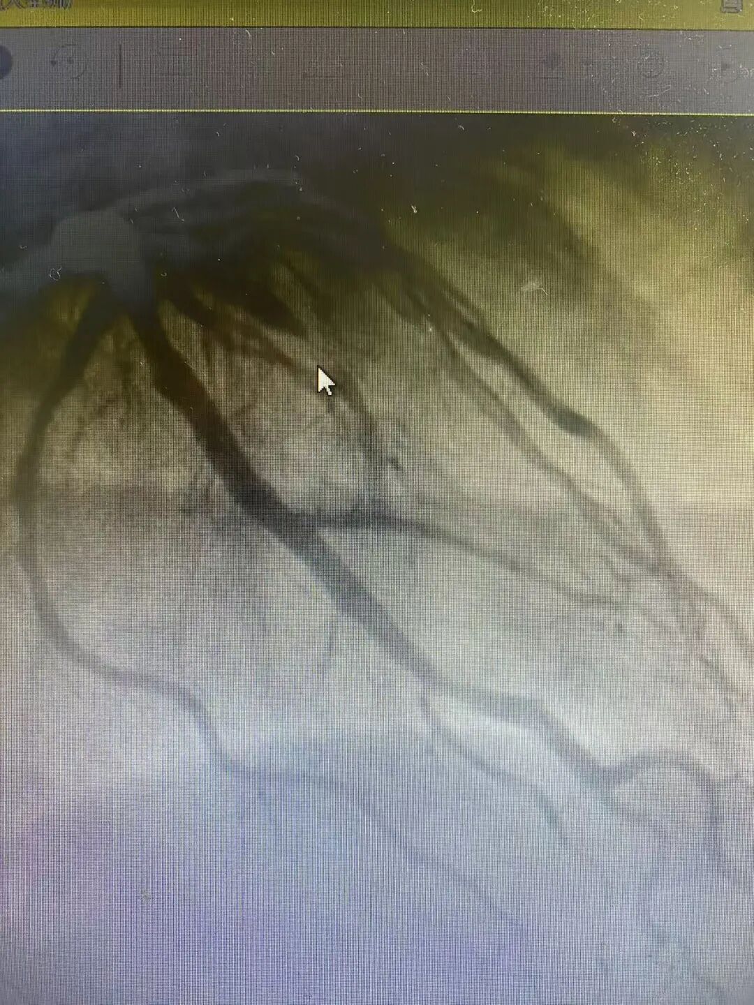
植入前

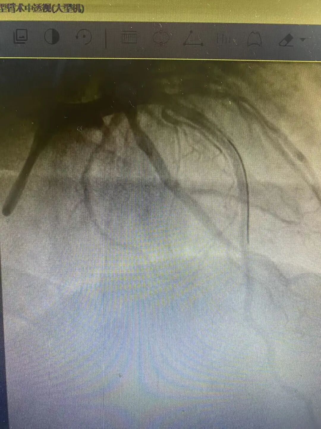
植入后
心血管内科介入团队很快赶到,冠脉造影结果显示:左前降支中段被血栓完全堵塞。通过球囊扩张堵塞部位、精准植入支架,患者的生命通道终于被重新打通。
赵先生无疑是幸运的,他的意外发生在医疗场所,得到了及时且精准的识别与抢救。
Part.I
心源性猝死究竟是什么
心源性猝死指的是由心脏问题引发、在1小时内突然发生的死亡,其核心特点就是“突发”与“心源”。
心源性猝死最常见的病因是冠心病,约占80%;其次是肥厚型心肌病、扩张型心肌病等,占比10%-15%;还有5%-10%是由先天性心脏结构异常和遗传性心律失常等导致。
心源性猝死并非小概率事件,在全球范围内,它约占所有心血管死亡病例的一半,占总死亡人数的15%-20%。在我国,每年约有54万人发生心源性猝死,平均每天就有1500人因此失去生命。
高危人群
有冠心病、心肌梗死病史者;
心力衰竭患者;
家族中有猝死或遗传性心脏病史者;
长期熬夜、过度劳累者;
高血压、糖尿病、高脂血症患者;
吸烟、酗酒、肥胖人群。
Part.2
把握“黄金4分钟”
心源性猝死的黄金抢救时间仅有4分钟,每延迟1分钟,患者的生存率就会下降7%-10%。在这短暂的时间里,身边人的急救行动,是患者生命最后的“救命稻草”,而这根“稻草”的核心就是心肺复苏(CPR)+自动体外除颤器(AED)。

抓住黄金救援时间
当发现有人突然倒地、意识丧失、呼吸异常时,请立即采取行动。
呼 救
第一时间大声呼救,让身边的人迅速拨打“120”急救电话,同时立即寻找附近的AED设备;
按 压

立即开始胸外按压,将掌根放在患者两乳头连线的中点,双臂保持垂直,以每分钟100-120次的频率、5-6厘米的深度用力按压,且不要中断;
除 颤


尽快使用AED,开机后按照语音提示操作即可。
Part.3
别让“救命稻草”成为最后的希望

与其在意外发生后拼命抓住“救命稻草”,不如提前筑牢心脏的防护墙,从根源上降低心源性猝死的风险。
01
养成良好生活习惯
拒绝长期熬夜,保证充足睡眠,保持规律作息;
合理饮食,减少高油、高盐、高糖食物的摄入,戒烟限酒;
适度、科学地运动,避免突然进行剧烈运动,运动过程中若出现不适,应立即停止并及时调整。
02
重视身体发出的预警信号
一旦出现不明原因的胸闷、胸痛、心慌、乏力等症状,要及时就医检查;若突发胸痛不适,需立即前往医院急诊或胸痛中心就诊,切勿心存侥幸。
对于有心脏病家族史、“三高”(高血压、高血糖、高血脂)的人群,要定期到心内科检查,控制好基础疾病,遵医嘱规律服药,切忌擅自减药、换药或停药。
03
普及急救知识
学会心肺复苏和AED的使用方法,让更多人掌握急救技能。当意外发生时,不再束手无策,让每一位心源性猝死患者都能抓住那根生命的“救命稻草”。
(部分图片源于网络)
来源 / 心血管内科
文 / 曾军 李宙童
主办 丨 党委办公室
编审 丨 丁晓燕
编辑 丨 曹熠雯
期号 丨 总第 1247 期
阅读原文
本文仅代表作者观点,版权归原创者所有,如需转载请在文中注明来源及作者名字。
免责声明:本文系转载编辑文章,仅作分享之用。如分享内容、图片侵犯到您的版权或非授权发布,请及时与我们联系进行审核处理或删除,您可以发送材料至邮箱:service@tojoy.com




