孤单会重塑大脑,使人越来越不愿与他人接触。
神译局是36氪旗下的编译团队,重点介绍海外新技术、新观点、新趋势,重点介绍科技、商业、职场、生活等领域。
编者按:孤独会使大脑发生变化,使人们远离社会接触。这篇文章来自编译,希望能给你一些启发。

极地站诺伊梅尔三号(The Neumayer III)埃克斯特罗姆冰架位于南极洲,无情。(Ekström Ice Shelf)边沿周边。冬季,那里的温度会突然下降到零下50摄氏度以下,风速会提高到100公里以上,没有人能从这个站进出。它的阻隔对于在那里进行气候、大气和地球物理科学实验尤为重要。只有少数科学家能在冬天为这个站工作,遭受寒冷和孤独。
但是几年前,这个站也成了研究“孤独”本身的地方。一群德国科学家想知道,社会孤立和环境单调是否会影响常年生活在南极的人脑。8名探险家在诺伊梅尔三号极地站工作了14个月。他们同意在任务前后扫描他们的大脑,并在南极停留期间监测他们的大脑化合物和思维能力。(第九名成员也参加了这项工作,但是由于医疗原因没有进行脑部扫描。)
正如研究人员在2019年所描述的,与对照组相比,前额皮层的容量降低了社会阻隔团队(前额皮层位于大脑前部,位于前额后部,主要负责决策和解决问题)。他们的脑源性神经营养因子(一种促进大脑神经细胞发育和生存的蛋白质)水平也较低。科研队从南极洲回来后,这种状态至少持续了一个半月。
目前还不确定有多少纯粹是社会隔离的经历造成的。然而,这一结果与最近的研究证据一致,即长期孤独会显著改变大脑,而这种改变只会恶化孤独问题。
神经科学表明,孤独不一定是因为缺乏与他人见面的机会,也不一定是因为害怕社交。相反,大脑中的回路和行为的改变可以让我们陷入困境:虽然我们渴望与他人取得联系,但我们认为他们不可靠,喜欢评判,不友好。因此,我们应该拉开距离,有意无意地避免隐藏的联系机会。
孤独很难进行实证分析,因为它是完全主观的。与此相关的社会隔离是不同的,这是衡量一个人人际关系的客观指标。孤独的经历必须自我报告,尽管研究人员已经开发了加州大学洛杉矶分校的孤独量表(UCLA loneliness Scale)等待工具有助于评估个人感受的深度。

从这些工作可以看出,很明显,孤独对身心的影响是深远的。而且,孤独不仅会让人感觉不好,还会损害我们的健康。孤独可能导致高血压、中风和心脏病。它还会翻倍患二型糖尿病的风险,增加患痴呆症的概率40%。因此,长期孤独的人往往比感到孤独的人有83%的死亡风险。
组织结构和政府经常试图通过鼓励人们出去参加爱好俱乐部、社区花园和手工艺小组来帮助我们缓解孤独。然而,正如神经科学所说,摆脱孤独并不总是那么简单。
1. 思维误差
几年前,当德国和以色列的神经科学家开始研究孤独时,他们希望发现杏仁核与孤独的神经基础和社会焦虑的神经基础一样。杏仁核通常被称为大脑恐惧中心,当我们面对像蛇这样的恐惧时,杏仁核经常被激活。德国波恩大学“社交焦虑与杏仁核活动的增加有关,所以孤独的人也应该如此,”德国波恩大学(University of Bonn)亚纳·利伯兹博士生说(Jana Lieberz)他说,她是研究小组的一员。
然而,该团队在2022年发布的一项研究表明,虽然威胁性社交场景会增加患有社交焦虑症的人的杏仁核活动,但对孤独的人没有这种影响。同样,患有社交焦虑症的人大脑奖励区的活动也减少了,而孤独的人似乎不是。
亚纳·利伯兹说:“社会焦虑的核心特征在孤独中并不明显。她说,这些结果表明,仅仅通过让孤独的人多出去社交来治疗孤独是不可行的,因为它不能解决孤独的根本原因。事实上,最近的综合分析证实,仅仅为孤独的人提供了一个更容易接触潜在朋友的机会,并没有影响主观孤独。
孤独的问题似乎是,它会让我们的思维产生误差。在行为研究中,孤独的人可以在120毫秒内收到消极的社会信号,比如被拒绝的图像,这是人际关系满意的人的两倍。孤独的人更喜欢站在离陌生人更远的地方,不信任别人,不喜欢身体接触。
达尼洛·布兹多克多克多克多克多克,一个具有神经科学和机器学习背景的麦吉尔大学跨学科研究员(Danilo Bzdok)也许这就是为什么孤独的人经常遵循“螺旋减少”的原因。“他们经常对自己收到的信息(面部情绪、短信等)有更负面的看法。),这让他们陷入了孤独的谷底。”
2. 默认网络问题
布兹多克和他的同事进行了迄今为止最大的研究,寻找人脑中孤独的特征。根据布兹多克的说法,这项研究的目标是过去任何研究的100倍。他们使用了来自英国生物样本库的数据,这是一个生物医学数据库,包括大约4万名英国居民的大脑扫描,以及他们与社会隔离和孤独的信息。
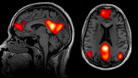
这项研究的结果在2020年发表在《自然通信》杂志上,揭示了默认网络中大脑孤独的热点。(default network)其中,这是大脑的一部分,当我们处于精神待机模式时,就会被激活。布兹多克说:“直到20年前,我们甚至不知道人类有这个系统。然而,研究发现,默认的网络活动占大脑能量消耗的大部分。
布兹多克及其团队解释说,默认网络的一些区域不仅更大,而且与大脑的其他部分有更强的连接。此外,默认网络似乎与许多人类进化出来的独特能力有关,如语言、预测未来和因果推理能力。一般来说,当我们想到别人的时候,默认网络会被激活,包括我们理解别人的意图。

人类大脑功能磁共振成像揭示了一些与默认网络相关的区域,当我们想到他人时,这些神经中心是最活跃的。
神经成像证据提供了默认网络连接的发现,支持心理学家之前的发现:孤独的人专注于社交白日梦,很容易怀旧过去的社会事件,甚至把自己的宠物拟人化,比如把自己的猫当人类说话,”布兹多克说。“这也需要默认网络来做。”
虽然孤独的人很容易想象出丰富的社交活动,但是它也会使现实生活中的社交活动变得没有意义。在2021年的一项研究中,布兹多克及其同事已经确定了原因,这项研究也是基于大量的英国生物样本库数据。她们分别讨论了社会孤立的人和社会支持程度较低的人,评价指标是这个人是否每天或几乎没有人能说话。研究者发现,在所有这些人中,眼眶前额皮质(orbitofrontal cortex,大脑中与奖励处理有关的部分)要小一些。
去年,一项基于1300多名日本志愿者数据的大型脑成像研究表明,孤独感越强,处理视觉注意力的区域在大脑中的功能联系就越强。这一发现支持了之前关于眼球跟踪的研究报告,即孤独的人通常过于关注不愉快的社交线索,比如被别人忽视。
3. 一种深深的、不舒服的渴望
但是,尽管孤独的人可能会感到与他人接触不舒服,没有任何回报,但是他们似乎仍然渴望联系。芝加哥大学已故神经科学家约翰·卡奇奥波(John Cacioppo)研究给他起了“孤独博士”的绰号。他假设孤独是一种进化的适应,类似于饥饿,这表明我们生活中的许多事情都有问题。就像饥饿促使我们寻找食物一样,孤独也应该促使我们寻找与他人的联系。对我们生活在非洲草原上的祖先来说,他们的生存可能取决于与一个群体的联系,而这种社会冲动也可能是一个关键问题。

已故神经学家约翰·卡奇奥波(John Cacioppo )建议孤独可能是一种进化适应。就像饥饿促使我们吃东西一样,孤独的存在可能会驱使我们寻找人际交往。
大脑成像数据支持这样一种观点:孤独在每个人的心理中是不可动摇的。剑桥大学神经科学助理薇娅·托莫娃在一项研究中。(Livia Tomova)当他们看着令人垂涎欲滴的食物图片时,他们要求40个人禁食10个小时,然后扫描他们的大脑。接着,这些志愿者必须独自呆上10个小时,没有电话,没有电子邮件,甚至没有小说作为联系的替代品。接着,他们进行了第二次脑部扫描,这次让他们看到了一群快乐朋友的照片。在对这些人脑扫描结果进行比较时,科学家们发现人们在饥饿和感到孤独时,大脑的激活方式惊人地相似。
对于托莫娃来说,这个实验强调了一个关于孤独的重要事实:如果仅仅10个小时的社交活动就足以引起与缺乏食物基本相同的神经信号,那么她说:“这凸显了我们与他人联系的需要是多么基本的,”她说。
4. 更多的大脑,更多的朋友
这项研究似乎也证实了一种进化理论,它被称为“社会大脑假设”,它认为繁忙的社会活动与更多的大脑有关。这一想法起源于一种关于“大脑如何在进化过程中发生变化”的理论,但似乎更多的大脑大小也直接来自于生活经验。一般而言,圈养的非人类灵长类动物生活在更大的社会群体中,或者与更多的铁笼伙伴分享空间,他们的大脑也更大。更加具体地说,灵长类动物的前额皮质含有较多的灰质。
研究发现,人类没有太大的不同。2022年的一项研究发现,孤独的老年人大脑的某些部位经常萎缩,包括丘脑和记忆中心的海马体来处理情绪。作者认为,这些变化有助于解释孤独症和痴呆症之间的联系。
当然,关于所有这些发现,有一个问题是“先有鸡还是先有蛋”:是大脑的差异让我们很容易感到孤独,还是孤独会让我们的大脑重新连接和收缩?根据布兹多克的说法,目前处理这个问题是不可能的。然而,他认为逻辑关系可能是双向的。
诺伊梅尔三号极地站对灵长类动物的研究表明,经验和社会环境可以对个人的大脑结构产生强烈的影响,使孤独可能引起的变化不可动摇。另一方面,对双胞胎的研究表明,孤独在一定程度上是可以遗传的:基因差异可以解释几乎50%的个体孤独差异。
长期遭受孤独的人并不是天生就有这种感觉,后天也无法摆脱。研究发现,认知疗法可以训练人们“意识到如何阻碍他们的行为和思维方式之间的联系”,从而有效减少孤独。应该有可能更好地干涉孤独感和娱乐独立性。
在一项研究中,利伯兹和她的同事讨论了每个人在玩基于信任的游戏时的大脑活动。一个大脑区域在孤独的人脑扫描中比社交群体活跃得多。利伯兹解释说,当我们检查自己的直觉时,这个区域,也就是脑岛,经常被激活。他说:“这也许是孤独的人不能信任他人的原因,他们不能依靠自己的直觉。所以,对于可靠的治疗方法,可能是处理孤独问题的一部分方法。
另外一种想法是激励同步。研究发现,影响人们喜爱和相互信任的一个关键在于他们的行为和反应有多相似。这种个体同步性,可以简单到在交谈中互相微笑或模仿身体语言,也可以复杂到在合唱队唱歌或者参加赛艇队。在之前发表的一项研究中,利伯兹向她的同事解释说,孤独的人很难与他人同步,这将导致他们大脑中负责观察行为的区域超速运行。如何引导孤独的人加入他人的行动,可能是另一种可以考虑的治疗方法。利伯兹说,这本身并不能治愈孤独,“但这可能是一个起点。
如果所有这些措施都失败了,可能会有新的化学疗法。在瑞士的一项实验中,志愿者们报告说,他们在服用裸盖蘑菇素(一种从蘑菇中采集的迷幻药物)后,感到被社会排斥的程度降低了。扫描他们的大脑显示,很少有区域活动来处理痛苦的社会经历。
虽然服用裸盖菇素可以帮助治疗慢性孤独,比如认知行为疗法、促进信任和同步治疗,但短暂的孤独很可能永远是人类经验的一部分。托莫娃说,这没什么不好。
她把孤独比作压力:孤独让人不开心,但不一定是消极的。她说:“它为我们的身体提供能量来应对挑战。但如果是慢性孤独,就会出现问题,因为我们的身体不应该一直处于这种状态,这最终会导致我们的适应机制崩溃。”
译者:Teresa
本文仅代表作者观点,版权归原创者所有,如需转载请在文中注明来源及作者名字。
免责声明:本文系转载编辑文章,仅作分享之用。如分享内容、图片侵犯到您的版权或非授权发布,请及时与我们联系进行审核处理或删除,您可以发送材料至邮箱:service@tojoy.com




