汝城县中医医院成功治疗颅内动脉瘤破裂出血病人。
近日,汝城县中医医院成功为一名73岁蛛网膜下腔出血患者实施颅内动脉瘤介入栓塞术,医术精湛,合作多学科。经过19天的系统治疗,患者于3月23日康复出院。
这个经典案例,不仅是医院在复杂脑血管疾病诊断和治疗领域取得的新突破,也是大龄患者治疗积累的宝贵诊断和治疗经验。
紧急求救 病况危急
三月四日下午,何某香奶奶突如其来的头痛还伴有意识障碍,家属看到后心急如焚,立即拨打汝城县中医医院120求救电话。
“中风的概率极高!绿色通道迅速启动。”急诊医生第一时间了解到患者有高血压病史,最高血压达到惊人的290/180毫米Hg!凭借专业的敏锐性果断判断病情,并立即向医院报告。
但是,在患者被送往医院的路上,病情急剧恶化,意识状态迅速由嗜睡转为昏迷,情况十分危急。
多科会诊 确定方案
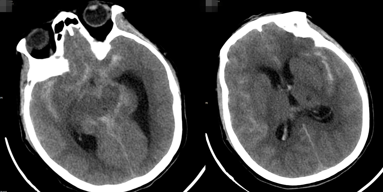
救护车到达医院时,介入医学科、重症监护室等科室的医生已经在急诊科门口等候。通过头部CT和CTA检查,发现患者存在蛛网膜下腔出血、梗阻性脑积水、脑室积血等危急情况。

头CT显示:蛛网膜下腔出血,脑室积血

CTA:动脉瘤位置
结合影像学表现和多年的诊断和治疗经验,干预医学科负责人、副主任医师唐汝军迅速判断脑出血的主要原因是颅内动脉瘤破裂出血。
时间就是生命!
为了寻求最佳的治疗方法,医院迅速组织了多学科会诊。各部门的医生聚集在一起,从不同的专业角度深入分析病情。考虑到患者年龄较大,伴有高血压等基础疾病,大脑手术风险极高。经过激烈的讨论和严格的评估,我们最终决定采用微创介入栓塞进行治疗。
精确手术 成功堵塞
在各项准备工作完成后,在上级专家的指导下,介入医学科和麻醉科的团队紧密配合,在全身麻醉条件下为患者实施全脑血管造影。经过仔细探索,基底动脉尖动脉瘤被精确定位为责任病。

介入手术中动脉瘤堵塞前后对比
唐汝军介绍说:“这部分靠近脑干和颅神经,手术操作空间很小,技术难度很大。
介入手术中
面对如此艰难的挑战,参与医学的团队以精湛的技术和无畏的勇气,利用支架协助弹簧圈栓塞技术,成功将特殊堵塞材料精确植入动脉瘤腔,完全阻挡血流冲击。
术后监测 精细护理
手术后,病人转到重症医学科接受加强监测。
医生团队根据患者的具体情况,通过脑脊液置换、抗凝管理、自主神经监测等一系列措施,制定个性化的治疗方法,有效预防脑水肿、脑血管痉挛等并发症。

医护查房

脑脊液更换
护理团队也一丝不苟,实行姿势管理、早期康复介入等精细化护理。他们密切关注患者的细微变化,确保患者能够顺利度过恢复期。
康复出院 感恩医护
经过19天的精心治疗,患者的意识状态基本恢复,神经系统功能评估正常。出院时,患者可以自由活动,生活质量明显提高。
“我真的没想到我妈妈会恢复得这么好!”患者家属出院时兴奋地哽咽。“从疾病到手术再到术后护理,每一个环节都能感受到医护人员的专业和意图。特别是唐主任和游主任团队耐心回答我们的问题,让全家人重新燃起希望。”
何奶奶还紧紧地握着唐汝军的手说:“现在头不疼了,走路也稳了,谢谢你给了我第二次生命!”
技术突破 极其重要
这一经典案例再次充分展示了汝城县中医医院多学科合作诊疗(MDT)强大的综合治疗能力在模式下。
介入医学作为医院的重点专科,已经进行了颅内动脉瘤、动脉狭窄等复杂的介入手术。该病例的成功为县区大龄脑血管疾病患者提供了更安全有效的治疗选择,促进了该地区脑血管疾病治疗水平的提高。
“我们将坚持‘人民至上,生命至上’,坚持‘以病人为中心’,以精湛的技术和优质的服务,全心全意保护群众的健康。”医院副院长朱俊说。
守护健康 科普先行
唐汝军提示:颅内动脉瘤被称为“脑血管中的不定时炸弹”,早期发现和规范治疗是关键。如有相关症状或高危因素,建议及时咨询相关专业医生。
第一,颅内动脉瘤是什么?颅内动脉瘤是由脑血管壁局部异常突出引起的“血管鼓包”,多由动脉硬化、高血压或先天性血管发育畸形引起。如果动脉瘤破裂,会导致蛛网膜下腔出血,死亡率和致残率极高。
第二,有哪些高风险因素?1.高血压:长期血压控制不良会损伤血管壁。2.吸烟和酗酒:烟焦油和酒精会加速血管衰老。3.先天因素:动脉瘤破裂的风险在家庭中较高。4.年龄和性别:50岁以上的女性更容易生病。
怎样识别动脉瘤破裂信号?1.突然剧烈头痛(常被描述为“人生中最痛苦”)。 恶心呕吐,意识模糊,四肢麻木或言语障碍。有的病人可能会复视,颈部僵硬。
提示:如果出现上述症状,需要立即就医!
治疗方法有哪些?1.介入栓塞术(微创治疗):弹簧圈或支架通过血管内软管植入动脉瘤,阻挡血流。创伤小,恢复快,适合大多数患者。2.开颅夹闭:开颅后用金属夹封闭动脉瘤颈部。适用于复杂动脉瘤或紧急抢救。
第五,如何防止动脉瘤破裂?1.控制血压:定期监测,遵医嘱服药。2.戒烟限酒:降低血管损伤风险。3.定期筛查:高危人群可以通过 CTA/MRA 及早发现。4.避免剧烈运动和情绪变化:减少血压骤升的诱因。
本文仅代表作者观点,版权归原创者所有,如需转载请在文中注明来源及作者名字。
免责声明:本文系转载编辑文章,仅作分享之用。如分享内容、图片侵犯到您的版权或非授权发布,请及时与我们联系进行审核处理或删除,您可以发送材料至邮箱:service@tojoy.com




