宣布:再次怀孕!还是双胞胎!
2024-08-16
当地时间13日,德国柏林动物园宣布,
中国熊猫生活在柏林,“梦想”
继2019年成功生下。
一对双胞胎之后,
再一次确认怀孕,
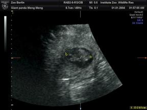
超声波检测到两个胎儿的心跳。
工作人员在园方11日上午进行的超声检查中,清楚地发现了两个熊猫胎儿的心跳。现在两个胎儿的长度约为2.5厘米。
旅德熊猫“梦”
柏林动物园园长安德烈亚斯·克尼里姆说,根据胚胎的大小,它们将在8月底出生。然而,柏林动物园在声明中强调,这仍然是妊娠的初始阶段,公园将通过超声波检查和激素分析来密切跟踪胚胎的发育,准确确定出生时间。
在五年前的成功经验中,动物园已经为“梦想”分娩做好了充分的准备。同时,中国专家也来到柏林,为后续工作提供支持。
根据公告,雌性熊猫每年只怀孕72小时左右。经过密集观察和精心准备,国际专家团队于今年4月对“梦”进行了人工授精。
2017年6月,“梦”和男熊猫“娇庆”从中国成都到柏林动物园,开始了15年的居住生活。2019年8月31日,“梦”成功诞生了一对男双胞胎,各自命名为“理想”和“梦”,这是德国第一次迎来熊猫的诞生。去年12月,这对双胞胎兄弟回到了中国。
长大后的“理想”和“梦圆”(资料图) 来源:德国柏林动物园
长大后的“理想”和“梦圆”资料图(资料图) 来源:德国柏林动物园
原来的标题:“官宣:再次怀孕!或者双胞胎!”
阅读原文
本文仅代表作者观点,版权归原创者所有,如需转载请在文中注明来源及作者名字。
免责声明:本文系转载编辑文章,仅作分享之用。如分享内容、图片侵犯到您的版权或非授权发布,请及时与我们联系进行审核处理或删除,您可以发送材料至邮箱:service@tojoy.com





