“我爱我家”热心上线,献给新时期的每一个中国家庭! 5.20 我爱你 在这充满爱的日子里 中国家庭宣传片 暖心上线的《我爱我的家》 向中国4.9亿家庭告白 什么是中国家庭? 应该发扬什么样的家庭文明新风尚? 以“爱国爱家”的真诚情怀, 到家庭成员之间的 2025-05-21
厦门市教育局公布名单! 昨日 2025年厦门市直属公立中学 体育、艺术自主招生特长检测 出炉合格名单 通常所说的自主招生 “特长生招生” 来看名单↓ 2025年厦门市直属公立中学 体育自主招生特长考试合格名单 识别二维码查看 2025-05-21
“典”亮生活 会昌法院开展“民法典宣传月”集中宣传活动 五月榴花如火 法治清风徐来 近日 有容广场的会昌戏剧小镇非常热闹。 一场有趣的民法典普法派对正在举行。... 会昌法院联合县委宣传部,司法局 等多个部门 以“美好生活”为基础・以“民法相伴”为主题 第 2025-05-21
为什么肺癌会夺走人们的生命?看完这篇文章,你会重新认识肺癌。 原创 胡洋大夫 呼吸科胡洋医生 首先,肺癌不是一种局部疾病,而是一种器质性疾病。虽然它生长在肺部,但它可以通过各种方式影响全身,如内分泌系统,这会导致人们缺乏力量、食欲不振和某些疾病。 肺癌可以产生无 2025-05-21
心脏不好关肺什么事,殊不知心肺不分家,肺部的恶疾居然与心有关。 原创 胡洋大夫 呼吸科胡洋医生 心肺是两个非常亲密的器官。形象地说,心脏在肺的怀里。心脏的血液不是直接从右侧流入左侧,而是从右心流入肺部,然后流回左心。因此,心肺不仅是相互帮助的关系,也是生病时相互联 2025-05-21
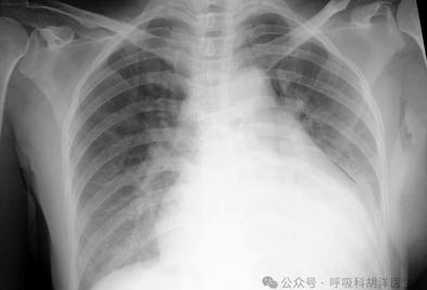
肺癌只要长出来,肯定会出现几种现象,有时早期发现对生命没有威胁。 原创 胡洋大夫 呼吸科胡洋医生 1、只要你有肺癌,就会有肺结节或肿块。有没有没有没有肺肿块的肺癌?我确实见过,但极其罕见。这类患者的肺部没有疾病,但纵隔肺门淋巴结肿胀,最终被证明是肺癌。大多数癌症患者 2025-05-21
出现了!九江小将夺得双亚军 SPORTS 2025年ITF国际女子职业网球巡回赛(W15)马鞍山站于5月12日至18日圆满落幕。九江市武宁县年轻球员朱宸汀表现出色,一举获得单挑、双打两项亚军,在职业网球界崭露头角。 朱宸汀作为 2025-05-21
警告!即将到达九江,请注意! 原创 爱情提醒九小布 九江发布 江西进入多雨季节 累计雨量大 警觉地质灾害,城市积水 预估20~24日 我们省份将继续多雨 第二轮降雨过程持续袭来 其中20~21日 赣北及赣中北雨势明显。 有中到大雨 2025-05-21
“5•19中国旅游日广元市活动在利州启动 美丽的山河,美丽的旅程。随着第15个“中国旅游日”的到来,2025年“中国旅游日”广元市活动在利州区芳香南山启动。 近年来,利州区重点关注“大蜀道国际文化旅游目的地和医疗度假胜地游客集散中心”的建设目 2025-05-21
安全提示 | 停止!如此铲冰,冰箱可能会爆炸! 天气越来越热了 又该囤冰棍了 但是冰箱里有厚厚的冰。 简直太占地方了 是时候进行一次大清洁了。 刀割,剪刀戳,锤子砸, 这些简单粗暴的除冰方法 存在重大安全隐患 冰箱内壁的冰 为什么不能随便铲? 怎 2025-05-21
小米3nm即将落地,有望带动这些环节的适应。 5月22日,小米将推出自主研发的手机SoC芯片玄戒O1,其第二款汽车SUV车型YU7将一起发布。该芯片将采用第二代3nm工艺,小米集团创始人兼董事长雷军表示,“(玄戒O1)力争成为第一梯队的旗舰体验。 2025-05-21
为什么商业地产人越来越不值钱? 出品/Mall先生 发文/杨帆 商业地产行业长期以来一直把“经验”作为核心竞争力。资深从业者始终占据行业金字塔的顶端,依托丰富的项目交易经验、深厚的行业认知和多年积累的资源网络。 但近几年来,“年龄 2025-05-21
整个网络都模仿马邈,但是没有人再听《南山南》了 几年前,歌手马邈在综艺节目中的片段引起了很多模仿和嘲讽。与出圈的热梗“男人要脸”“北京孩子”相比,一个尴尬的现实是观众不再听《南山南》等民歌。当短视频神曲以周为基准出现时,不到几天,新的音乐内容就会 2025-05-21
本人“被瞒亿万家产20年”,想接手要先卖3亿。 很多问题都需要时间来解决,如果能够发现一个问题就可以弥补一个缺口,改变迟早会发生。 当我们再次见面时,张子龙似乎没有太大的变化,但它仍然是一个简单的组合——黑色套头毛衣和洞穴鞋。在接受采访时,他喝着 2025-05-21
爱路护路安全小知识 | 共建共享平安铁路 从我做起,爱护铁路 铁路安全 事关重大 维护铁路安全 从我做起 大家一起学习吧 看看动漫学常识~ ↓↓↓↓↓↓ ▲禁止在铁路输电线路两侧500米范围内升起风筝、汽球等低空悬浮物,加固塑料温室、彩钢瓦等轻质漂浮物。铁路沿线 2025-05-21
第二天张核子“限高”被解除,前员工执行款3个月后仍未到帐。 近日,由于服务合同纠纷,张核子实际控制的深圳核子华曦医学检验实验室起诉全国多家卫生健康局,引发热议。今年2月,张核子被法院限制高消费,并冲上热搜,因为他没有履行生效法律文书确定的20万元支付义务。随后 2025-05-21
清原法院依法执行一起排除妨害纠纷案件 清原法院依法执行一起排除妨害纠纷案件 排除障碍纠纷难以解决,难以实施,是法院工作的一大“难题”。清原法院执行局共同努力,依法执行一起排除障碍纠纷的案件,有效维护了申请人的合法权益,展现了法院的威慑力, 2025-05-21
国际乒联对王楚钦球拍进行了回应,“测完球拍海棉就开了一半”。 五月十九日,国际乒乓球联合会发布了国际乒乓球联合会关于王楚钦球拍受伤事件的官方声明。 2025年国际乒联多哈世界乒乓球锦标赛混双1/16决赛,当地时间5月19日下午,中国选手王楚钦的球拍在赛前测试阶段 2025-05-21
这座拉萨大桥建设的最新进展! 热门新闻 西藏一个城市的最新消费补贴来了!买车、家电、数码...西藏油价今晚调整!西藏一个城市招聘(聘用)公务员(职业编制人员)的最新动态!受到广大市民的关注 正在建设的拉萨高新大桥项目正在进行中 5 2025-05-21