心脏不好关肺什么事,殊不知心肺不分家,肺部的恶疾居然与心有关。
2025-05-21
原创 胡洋大夫 呼吸科胡洋医生
心肺是两个非常亲密的器官。形象地说,心脏在肺的怀里。心脏的血液不是直接从右侧流入左侧,而是从右心流入肺部,然后流回左心。因此,心肺不仅是相互帮助的关系,也是生病时相互联系的关系。最典型的是心力衰竭,肺部首先受损。
最近,我们收到了一个病人,她是一个女人。她不年轻了。她心脏有手术史,换了瓣膜。这种瓣膜对心脏非常重要。没有这种具有单向阀门作用的瓣膜,血液就不会向一个方向流动。虽然患者做过手术,但并没有解决问题。当心脏仍然衰退时,肺部会受损。
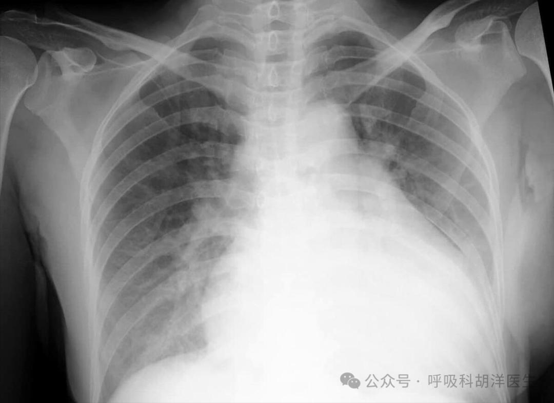
患者肺部弥漫式磨玻璃阴影,心跳快,下肢水肿,心力衰竭指标达到2000多。人们感到不舒服,感到无法呼吸。住院后,他紧急治疗心力衰竭。疾病很快好转,心力衰竭指标改善了很多,脚也不肿了。复查肺部影像,磨玻璃阴影也消散出院。
综上所述,如果肺部出现磨玻璃阴影,不一定是肺部原发性疾病,也可能是心脏问题影响肺部。
原题:“心脏不好关肺什么事,殊不知心肺不分家,肺部怪病竟与心有关”
阅读原文
本文仅代表作者观点,版权归原创者所有,如需转载请在文中注明来源及作者名字。
免责声明:本文系转载编辑文章,仅作分享之用。如分享内容、图片侵犯到您的版权或非授权发布,请及时与我们联系进行审核处理或删除,您可以发送材料至邮箱:service@tojoy.com



