昏昏欲睡,下肢麻木,行走困难…38岁的女子颅内竟然藏着一个“鸭蛋”?
原创 上海静安 上海静安
“谢谢你救了我们的家人。”近日,上海市静安区中心医院(华山医院静安分院)神经外科团队成功为脑功能区大量富血脑膜瘤患者进行了肿瘤切除术,患者术后恢复良好,无明显后遗症。患者及其家属向医护人员发出横幅表示感谢。
患者张女士今年38岁。近年来,张女士出现了头晕和不良反应。大约一个月前,她的右下肢麻木、虚弱和行走困难。发现不对劲的张女士立即去当地医院。
测试结果让全家人大为震惊:张女士脑中有一个鸭蛋大小的肿瘤(6*5*5厘米)。
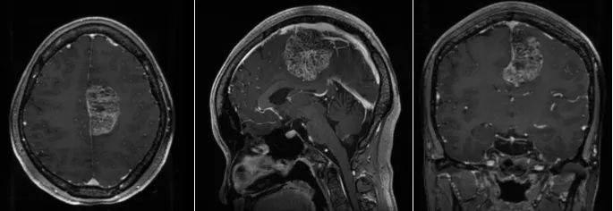
随后,张女士一家前往上海市静安区中心医院(华山医院静安分院)就医。头部MRI检查显示,脑肿瘤位于左脑额顶叶功能区,血液供应极其丰富,切除困难,手术风险极大。
在这种棘手的情况下,华山医院鲍伟民教授和顾昕主任进行了严格的术前讨论和评估。顾昕认为,该病人左额顶功能区极大的脑膜瘤,手术指征非常明确。考虑到脑膜瘤体积大,血液供应丰富,术中容易出现大出血。同时,切除肿瘤时,容易损伤周围重要的动静脉,引起不可逆的大面积脑梗死和回流障碍,术后出现肢体偏瘫麻木、脑肿胀、脑出血甚至昏迷死亡。讨论结束后,建议在导航下精确定位,保护中央沟静脉和中央前后,分层切除肿瘤。
在鲍伟民的指导下,手术由顾昕主任团队进行。凭借精湛的手术技巧和丰富的临床经验,手术团队精细剥离肿瘤需要8个小时,最终成功切除了镜下可见的肿瘤。手术后,患者恢复良好,没有神经功能障碍。目前,患者已顺利出院。
专家提醒
如果出现反复头痛呕吐、肢体无力、咬字不清等症状,要及时去正规医院就医,排除上述症状是否是流血、肿瘤等脑部疾病引起的,不要耽误病情。
记者:郁婷邈
原题:“头晕,下肢麻木,行走困难…38岁的女子颅内竟然藏着一只“鸭蛋”?
阅读原文
本文仅代表作者观点,版权归原创者所有,如需转载请在文中注明来源及作者名字。
免责声明:本文系转载编辑文章,仅作分享之用。如分享内容、图片侵犯到您的版权或非授权发布,请及时与我们联系进行审核处理或删除,您可以发送材料至邮箱:service@tojoy.com





